Prostatakrebs – Symptome, Diagnose, Stadien und Behandlung
Prostatakrebs ist weltweit die häufigste Krebserkrankung bei Männern und entsteht aus Zellen der Prostata, einer kleinen Drüse unterhalb der Harnblase. In frühen Stadien verursacht die Erkrankung häufig keine oder nur unspezifische Beschwerden, weshalb sie oft im Rahmen einer PSA-Kontrolle oder einer urologischen Untersuchung entdeckt wird.
Eine präzise Diagnostik ist entscheidend, um zwischen langsam wachsenden Tumoren und behandlungsbedürftigen Formen zu unterscheiden – und um im fortgeschrittenen Stadium moderne Verfahren gezielt einzusetzen.
In diesem Artikel erklären wir Ihnen die wichtigsten Begriffe verständlich – und zeigen, wann eine PSMA PET/CT als moderne molekulare Bildgebung eine sinnvolle Ergänzung sein kann.

Was ist Prostatakrebs?
Die Prostata ist eine walnussgroße Drüse unterhalb der Harnblase und umschließt den Anfang der Harnröhre. Sie produziert einen Teil der Samenflüssigkeit und wird hormonell vor allem durch Testosteron gesteuert. Veränderungen in den Drüsenzellen können dazu führen, dass sich einzelne Zellen unkontrolliert vermehren – es entsteht ein Prostatakarzinom.
Nicht jeder Prostatakrebs verhält sich gleich. Manche Tumoren wachsen sehr langsam und bleiben über Jahre auf die Prostata begrenzt. Andere zeigen ein aggressiveres Wachstum und können früh in umliegendes Gewebe oder in entfernte Organe streuen. Genau diese Unterschiede machen eine sorgfältige Diagnostik und individuelle Risikobewertung so wichtig.
Zu den bekannten Risikofaktoren zählen:
- höheres Lebensalter
- familiäre Vorbelastung (z. B. Prostatakrebs bei Vater oder Bruder)
- bestimmte genetische Veränderungen (z. B. BRCA-Mutationen)
- hormonelle Einflüsse
- Rauchen
Wichtig zu wissen: Das Vorliegen eines Risikofaktors bedeutet nicht automatisch, dass eine Erkrankung entsteht – es erhöht lediglich die Wahrscheinlichkeit.
Gerade weil frühe Stadien häufig keine klaren Symptome verursachen, spielt die strukturierte Abklärung durch PSA-Bestimmung, klinische Untersuchung und – wenn erforderlich – weiterführende Bildgebung eine zentrale Rolle. Moderne Verfahren können helfen, die Ausbreitung präzise zu beurteilen und die passende Behandlungsstrategie festzulegen.
Häufigkeit und epidemiologische Bedeutung des Prostatakarzinoms
Das Prostatakarzinom ist weltweit die häufigste Krebserkrankung des Mannes. Nach aktuellen Schätzungen der International Agency for Research on Cancer (IARC) werden jährlich rund 1,47 Millionen Neuerkrankungen diagnostiziert (GLOBOCAN 2022).
In Österreich stellt Prostatakrebs die häufigste bösartige Tumorerkrankung des Mannes dar. Jährlich werden etwa 6.000 bis 6.500 Neuerkrankungen registriert. Rund 1.200 bis 1.300 Männer versterben pro Jahr an den Folgen der Erkrankung. Insgesamt leben derzeit schätzungsweise 70.000 bis 75.000 Männer in Österreich mit einer Prostatakrebsdiagnose (Statistik Austria, Österreichisches Krebsregister, zuletzt veröffentlichte Prävalenzdaten). Damit macht das Prostatakarzinom etwa ein Viertel aller neu diagnostizierten Krebserkrankungen beim Mann aus.
Symptome von Prostatakrebs – Frühzeichen und Warnsignale
Prostatakrebs verursacht in frühen Stadien häufig keine eindeutigen Beschwerden. Viele Tumoren werden daher zufällig im Rahmen einer Vorsorgeuntersuchung oder aufgrund eines erhöhten PSA-Wertes entdeckt. Gerade diese anfängliche Symptomarmut macht eine strukturierte urologische Abklärung so wichtig.
Frühe, oft unspezifische Beschwerden
Wenn Symptome auftreten, betreffen sie meist das Wasserlassen. Dazu können gehören:
- abgeschwächter oder unterbrochener Harnstrahl
- häufiger Harndrang, besonders nachts
- verzögerter Beginn des Wasserlassens
- das Gefühl, die Blase nicht vollständig entleeren zu können
Diese Beschwerden sind jedoch nicht spezifisch für Krebs und treten häufig auch bei einer gutartigen Prostatavergrößerung auf.
Symptome bei fortgeschrittener Erkrankung
In weiter fortgeschrittenen Stadien oder bei Metastasierung können zusätzliche Beschwerden auftreten, zum Beispiel:
- Blut im Urin oder im Ejakulat
- Schmerzen im Becken, Rücken (Lendenwirbelsäule) oder in den Knochen
- unerklärliche Müdigkeit oder Gewichtsverlust
Knochenschmerzen können insbesondere dann auftreten, wenn sich Tumorzellen in das Skelett ausgebreitet haben – eine typische Metastasierungsregion beim fortgeschrittenen Prostatakarzinom.
Es ist wichtig zu beachten, dass diese Symptome auch auf andere Erkrankungen oder Zustände hinweisen können, die nichts mit Prostatakrebs zu tun haben. Dennoch sollten Männer bei anhaltenden oder auffälligen Symptomen einen Arzt aufsuchen, um die Ursache abzuklären. Die Früherkennung von Prostatakrebs erfolgt in der Regel durch regelmäßige Vorsorgeuntersuchungen, in erster Linie durch Bestimmung des prostataspezifischen Antigentests (PSA – Test) und der rektalen Untersuchung.
Wann sollte eine ärztliche Abklärung erfolgen?
Eine zeitnahe urologische Untersuchung ist sinnvoll bei:
- neu auftretenden oder zunehmenden Beschwerden beim Wasserlassen
- einem anhaltend erhöhten oder steigenden PSA-Wert
- familiärer Vorbelastung mit Prostatakrebs
Eine frühzeitige Diagnostik ermöglicht es, zwischen langsam wachsenden Tumoren und behandlungsbedürftigen, aggressiveren Formen zu unterscheiden. Moderne Bildgebung – etwa eine PSMA PET/CT – kann insbesondere bei Verdacht auf Metastasen oder bei einem Wiederanstieg des PSA-Wertes nach Therapie zusätzliche Klarheit schaffen.
Diagnose von Prostatakrebs
Besteht der Verdacht auf Prostatakrebs, erfolgt die Abklärung in mehreren aufeinander aufbauenden Schritten. Ziel ist es, eine verlässliche Diagnose zu stellen, das Ausmaß der Erkrankung zu bestimmen und eine fundierte Therapieentscheidung zu ermöglichen.
Der PSA-Wert
Das prostataspezifische Antigen (PSA) ist ein Eiweiß, das von Prostatazellen gebildet wird und im Blut messbar ist. Ein erhöhter oder ansteigender PSA-Wert kann ein Hinweis auf Prostatakrebs sein – allerdings auch auf gutartige Veränderungen oder Entzündungen. Entscheidend ist daher nicht nur der Einzelwert, sondern vor allem:
- die Entwicklung im Verlauf
- die Geschwindigkeit des Anstiegs (PSA-Verdopplungszeit)
- die klinische Gesamtsituation
Ein erhöhter PSA-Wert allein stellt noch keine Krebsdiagnose dar, sondern ist Anlass für weitere Untersuchungen.
Klinische Untersuchung und MRT der Prostata
Die digitale rektale Untersuchung (DRU) ermöglicht es dem Urologen, die Prostata auf Verhärtungen oder Knoten abzutasten und zu prüfen. Ergänzend kommt heute häufig eine multiparametrische MRT (mpMRT) der Prostata zum Einsatz. Diese Bildgebung kann verdächtige Areale sichtbar machen und hilft, eine gezielte Biopsie zu planen.
Biopsie
Erst die Gewebeentnahme (Biopsie) liefert den histologischen Nachweis eines Prostatakarzinoms. Das entnommene Gewebe wird unter dem Mikroskop untersucht und nach dem sogenannten Gleason-Score bzw. ISUP-Grading bewertet. Diese Einstufung gibt Hinweise darauf, wie aggressiv der Tumor biologisch ist.
Staging
Nach gesicherter Diagnose wird geprüft, ob der Tumor auf die Prostata begrenzt ist oder sich bereits ausgebreitet hat. Hierfür werden je nach Situation unterschiedliche Verfahren eingesetzt, zum Beispiel:
- MRT oder CT zur Beurteilung lokaler Ausbreitung
- Knochenszintigrafie bei Verdacht auf Knochenmetastasen
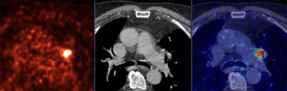
- moderne molekulare Bildgebung wie die PSMA PET/CT, insbesondere bei fortgeschrittenem Stadium oder bei erneut steigendem PSA-Wert
Gerade bei Verdacht auf Metastasen oder bei unklaren Befunden kann die PSMA PET/CT zusätzliche, präzisere Informationen liefern und so die Therapieplanung wesentlich beeinflussen.
Stadien und Risikogruppen
Nach der gesicherten Diagnose stellt sich die entscheidende Frage: Wie weit ist die Erkrankung fortgeschritten und wie aggressiv verhält sich der Tumor? Diese Einschätzung beeinflusst maßgeblich die Wahl der Therapie.
TNM-System – Ausbreitung systematisch beurteilen
Das sogenannte TNM-System beschreibt das Stadium der Erkrankung:
- T (Tumor): Wie groß ist der Tumor und ist er auf die Prostata begrenzt?
- N (Nodes): Sind Lymphknoten betroffen?
- M (Metastasen): Gibt es Absiedelungen in entfernten Organen, etwa in Knochen oder Leber?
Ein lokal begrenzter Tumor (z. B. T1–T2, N0, M0) unterscheidet sich therapeutisch deutlich von einem bereits metastasierten Prostatakarzinom.
Gleason-Score und ISUP-Grading
Der Gleason-Score basiert auf der mikroskopischen Beurteilung des Tumorgewebes. Er gibt an, wie stark sich die Krebszellen von gesundem Prostatagewebe unterscheiden.
- Niedrige Werte sprechen für langsam wachsende Tumoren.
- Höhere Werte deuten auf eine aggressivere Biologie hin.
Heute wird zusätzlich häufig das ISUP-Grading-System (Gradgruppe 1–5) verwendet, das die Aggressivität noch klarer einordnet.
Risikogruppen
Für die Therapieplanung werden PSA-Wert, Tumorstadium (TNM) und Gleason-/ISUP-Grad kombiniert. Daraus ergeben sich vereinfachte Risikokategorien:
- Niedriges Risiko: oft geeignet für aktive Überwachung (active surveillance)
- Intermediäres Risiko: individuelle Therapieentscheidung
- Hohes Risiko: meist aktive, intensivere Therapie notwendig
Bei fortgeschrittenem oder metastasiertem Prostatakrebs gewinnt zusätzlich die genaue Beurteilung der Tumorlast und -verteilung an Bedeutung. Hier kann eine PSMA PET/CT helfen, selbst kleine Metastasen präzise sichtbar zu machen und die Therapieplanung gezielt auszurichten.
Eine korrekte Stadieneinteilung ist entscheidend, um weder zu übertherapieren noch eine notwendige Behandlung zu verzögern.
Metastasen bei Prostatakrebs
In fortgeschrittenen Stadien kann sich Prostatakrebs über die Prostata hinaus ausbreiten. Dabei gelangen Tumorzellen über Lymphbahnen oder Blutgefäße in andere Körperregionen und bilden sogenannte Metastasen. Die Kenntnis von Ausbreitungsmustern ist entscheidend für die Wahl der richtigen Therapie.
Häufige Orte von Metastasen
Beim Prostatakarzinom treten Metastasen besonders häufig auf in:
- Knochen (Wirbelsäule, Becken, Rippen)
- Lymphknoten im Becken- oder Bauchraum
- seltener in Leber oder Lunge
Knochenmetastasen sind dabei am häufigsten und können zu belastungsabhängigen oder dauerhaften Schmerzen führen.



Mögliche Beschwerden bei Metastasen
Nicht jede Metastase verursacht sofort Symptome. Treten Beschwerden auf, können sie sich äußern durch:
- anhaltende oder zunehmende Knochenschmerzen
- eingeschränkte Beweglichkeit
- allgemeine Schwäche oder Fatigue
- Blutarmut (Anämie) bei ausgedehnter Knochenbeteiligung
Bei neurologischen Symptomen wie Taubheitsgefühl oder Lähmungserscheinungen ist eine rasche medizinische Abklärung notwendig.
Wie Metastasen diagnostiziert werden
Zur Beurteilung der Ausbreitung kommen verschiedene bildgebende Verfahren zum Einsatz:
- CT oder MRT zur Darstellung von Organen und Lymphknoten
- Knochenszintigrafie bei Verdacht auf Skelettbefall
- PSMA PET/CT als moderne molekulare Bildgebung zur Detektion auch kleiner oder schwer sichtbarer Metastasen
Insbesondere bei steigenden PSA-Werten nach einer bereits durchgeführten Therapie oder bei Verdacht auf ein fortgeschrittenes Stadium kann die PSMA PET/CT eine präzisere Einschätzung der Tumorverteilung ermöglichen.
Die genaue Erfassung der Metastasen ist zentral, um zu entscheiden, ob eine lokale, systemische oder gezielt molekulare Therapie – etwa eine PSMA Radioligandentherapie – sinnvoll ist.
Behandlungsmöglichkeiten bei Prostatakrebs
Die Therapie von Prostatakrebs richtet sich nach mehreren Faktoren: dem Tumorstadium, der biologischen Aggressivität (Gleason/ISUP), dem PSA-Verlauf, dem Vorliegen von Metastasen sowie dem allgemeinen Gesundheitszustand des Patienten. Nicht jede Diagnose bedeutet automatisch, dass sofort eine intensive Behandlung erforderlich ist – die Therapie wird individuell geplant.
Aktive Überwachung (Active Surveillance)
Bei Tumoren mit niedrigem Risiko und günstigen biologischen Merkmalen kann eine engmaschige Beobachtung sinnvoll sein. Dabei erfolgen regelmäßige PSA-Kontrollen, MRT-Untersuchungen und gegebenenfalls erneute Biopsien. Ziel ist es, eine Übertherapie zu vermeiden und erst bei Anzeichen einer Progression aktiv zu behandeln.
Operation – radikale Prostatektomie
Bei lokal begrenztem Prostatakrebs kann die vollständige Entfernung der Prostata eine kurative Option darstellen. Der Eingriff erfolgt offen oder robotisch assistiert. Mögliche Risiken betreffen unter anderem Kontinenz und Potenz, weshalb eine sorgfältige Aufklärung wichtig ist.
Strahlentherapie
Die externe Bestrahlung oder eine Brachytherapie (Einbringen radioaktiver Strahlenquellen direkt in die Prostata) sind etablierte Alternativen zur Operation – insbesondere bei lokalisierten oder lokal fortgeschrittenen Tumoren.
Hormontherapie und moderne Androgenrezeptor-gerichtete Therapien
Da Prostatakrebs in der Regel hormonabhängig ist, kann eine Androgendeprivationstherapie (ADT) das Tumorwachstum bremsen. In fortgeschrittenen Stadien kommen zusätzlich moderne Medikamente zum Einsatz, die gezielt in den Androgenstoffwechsel eingreifen.
Chemotherapie
Bei metastasiertem oder kastrationsresistentem Prostatakarzinom kann eine Chemotherapie (z. B. mit Docetaxel oder Cabazitaxel) Teil des Behandlungskonzepts sein.
PSMA Radioligandentherapie – gezielte molekulare Behandlung
Bei fortgeschrittenem oder metastasiertem Prostatakrebs kann eine PSMA Radioligandentherapie eine zusätzliche Behandlungsoption darstellen. Dabei bindet ein radioaktiv markiertes Molekül gezielt an PSMA-exprimierende Tumorzellen und zerstört diese von innen heraus. Voraussetzung ist in der Regel eine ausreichende PSMA-Expression, die zuvor mittels PSMA PET/CT überprüft wird.
Welche Therapie im individuellen Fall sinnvoll ist, sollte stets interdisziplinär und unter Berücksichtigung aller Befunde entschieden werden.
Prognose und Verlauf
Die Prognose bei Prostatakrebs hängt stark vom Stadium bei Diagnosestellung und von den biologischen Eigenschaften des Tumors ab. Viele lokal begrenzte Tumoren wachsen langsam und können bei frühzeitiger Diagnose sehr gut kontrolliert oder behandelt werden. In fortgeschrittenen Stadien ist das Ziel häufig, das Fortschreiten der Erkrankung zu verlangsamen, Beschwerden zu lindern und die Lebensqualität möglichst lange zu erhalten.
Wichtige Einflussfaktoren auf die Prognose
Mehrere Faktoren spielen eine Rolle:
- Tumorstadium (TNM): Ist der Krebs auf die Prostata begrenzt oder bereits metastasiert?
- Gleason-Score / ISUP-Grad: Wie aggressiv erscheinen die Tumorzellen mikroskopisch?
- PSA-Verlauf: Wie schnell steigt der PSA-Wert an?
- Tumorlast und Metastasierungsmuster: Anzahl und Lokalisation von Metastasen
- Allgemeinzustand und Begleiterkrankungen
Diese Faktoren werden nicht isoliert betrachtet, sondern im Gesamtkontext bewertet. Gerade bei metastasiertem Prostatakrebs kann eine präzise Bildgebung – etwa durch eine PSMA PET/CT – helfen, das tatsächliche Ausmaß der Erkrankung genauer einzuschätzen und Therapieentscheidungen gezielter zu treffen.
Warum Verlaufskontrollen so wichtig sind
Auch nach einer Therapie bleiben regelmäßige Kontrollen essenziell. Dazu gehören:
- PSA-Kontrollen in definierten Abständen
- bildgebende Untersuchungen bei Verdacht auf Progression
- klinische Beurteilung von Beschwerden
Ein erneuter PSA-Anstieg bedeutet nicht automatisch eine sofortige Therapieumstellung, sollte aber sorgfältig abgeklärt werden. Moderne diagnostische Verfahren ermöglichen es heute, ein Rezidiv oft frühzeitig zu erkennen und gezielt zu behandeln.
Eine realistische, transparente Einschätzung der Prognose ist Teil einer verantwortungsvollen ärztlichen Beratung. Unser Ziel ist es, gemeinsam einen Behandlungsweg zu wählen, der medizinisch sinnvoll ist und zugleich Ihre individuelle Situation berücksichtigt.
Leben mit Prostatakrebs – Alltag, Lebensqualität und Unterstützung
Eine Diagnose Prostatakrebs betrifft nicht nur den Körper, sondern oft auch das seelische Gleichgewicht, die Partnerschaft und den Alltag. Neben medizinischen Entscheidungen spielen daher Lebensqualität und individuelle Bedürfnisse eine zentrale Rolle.
Sexualität und Potenz
Je nach Therapieform kann es zu Veränderungen der Erektionsfähigkeit oder der Ejakulation kommen. Auch hormonelle Therapien beeinflussen Libido und Sexualfunktion. Wichtig ist: Diese Themen sind medizinisch bekannt und sollten offen angesprochen werden. Es gibt unterstützende Maßnahmen und therapeutische Optionen, die helfen können, die Lebensqualität zu erhalten.
Harnkontinenz und körperliche Veränderungen
Nach Operation oder Bestrahlung kann es vorübergehend oder dauerhaft zu Einschränkungen der Blasenkontrolle kommen. Beckenbodentraining und spezialisierte physiotherapeutische Programme können hier hilfreich sein. Auch Fatigue – eine anhaltende Erschöpfung – ist eine mögliche Begleiterscheinung, insbesondere bei systemischen Therapien.
Psychische Belastung und emotionale Verarbeitung
Unsicherheit über den Verlauf, Therapieentscheidungen oder ein PSA-Anstieg können emotional belastend sein. Gespräche mit dem behandelnden Team, psychoonkologische Unterstützung oder der Austausch mit anderen Betroffenen können helfen, mit der Situation besser umzugehen.
Alltag mit fortgeschrittener Erkrankung
Bei metastasiertem Prostatakrebs steht neben der Tumorkontrolle auch die Symptomlinderung im Vordergrund. Schmerztherapie, gezielte medikamentöse Unterstützung und eine individuell angepasste Therapieplanung tragen dazu bei, Mobilität und Lebensqualität möglichst lange zu erhalten.
Eine strukturierte Betreuung, regelmäßige Verlaufskontrollen und transparente Kommunikation sind entscheidend, um gemeinsam einen sicheren und nachvollziehbaren Behandlungsweg zu gestalten.
Prostatakrebshilfe im Theranosticum Wien
Nicht jeder Prostatakrebs erfordert eine spezialisierte nuklearmedizinische Diagnostik oder Therapie. In bestimmten Situationen kann jedoch eine weiterführende Abklärung entscheidend sein, um Klarheit zu gewinnen und die nächsten Schritte gezielt zu planen.
Eine Vorstellung in unserem spezialisierten Zentrum kann insbesondere sinnvoll sein bei:
- steigendem PSA-Wert nach bereits erfolgter Therapie (Verdacht auf Rezidiv)
- unklarer Metastasierungssituation, wenn konventionelle Bildgebung keine eindeutige Aussage erlaubt
- fortgeschrittenem oder metastasiertem Prostatakarzinom, bei dem moderne, gezielte Therapieoptionen geprüft werden sollen
Die PSMA PET/CT Diagnostik kann helfen, die tatsächliche Tumorverteilung präzise darzustellen und damit eine fundierte Therapieentscheidung zu ermöglichen. Auf dieser Basis kann – sofern medizinisch geeignet – auch eine PSMA Radioligandentherapie geprüft werden.
Im Theranosticum Wien erfolgt die Beurteilung strukturiert und interdisziplinär. Unser Ziel ist es, die vorhandenen Befunde im Gesamtkontext zu bewerten und eine transparente Empfehlung zu geben – realistisch, nachvollziehbar und individuell abgestimmt.
Häufige Fragen zu Prostatakrebs
Im Zusammenhang mit einer Prostatakrebsdiagnose tauchen oft ähnliche Fragen auf. Eine verständliche Einordnung kann helfen, Unsicherheiten zu reduzieren und informierte Entscheidungen zu treffen.
Wie schnell wächst Prostatakrebs?
Das Wachstum ist sehr unterschiedlich. Manche Tumoren entwickeln sich über viele Jahre langsam und bleiben auf die Prostata begrenzt. Andere zeigen ein aggressiveres Verhalten. Entscheidend sind unter anderem der Gleason-/ISUP-Grad, das Tumorstadium und der PSA-Verlauf.
Was bedeutet ein steigender PSA-Wert?
Ein einzelner erhöhter PSA-Wert ist noch kein Beweis für eine Krebserkrankung. Wichtig ist die Entwicklung im Zeitverlauf. Nach einer Therapie kann ein erneuter PSA-Anstieg auf ein Rezidiv hinweisen und sollte weiter abgeklärt werden – gegebenenfalls auch mit moderner Bildgebung wie einer PSMA PET/CT.
Kann Prostatakrebs geheilt werden?
Bei lokal begrenztem Prostatakrebs bestehen häufig sehr gute Heilungschancen durch Operation oder Strahlentherapie. In fortgeschrittenen Stadien liegt der Schwerpunkt oft auf der langfristigen Kontrolle der Erkrankung und dem Erhalt der Lebensqualität.
Wann ist eine PSMA PET/CT sinnvoll?
Eine PSMA PET/CT kann insbesondere bei unklarer Metastasierung, bei fortgeschrittenem Stadium oder bei erneut steigendem PSA-Wert nach einer Vorbehandlung zusätzliche diagnostische Sicherheit bieten. Sie dient der präzisen Beurteilung der Tumorverteilung und kann die Therapieplanung maßgeblich beeinflussen.
Für wen kommt eine PSMA Therapie in Frage?
Eine PSMA Radioligandentherapie wird in der Regel bei fortgeschrittenem oder metastasiertem Prostatakarzinom geprüft. Voraussetzung ist eine ausreichende PSMA-Expression, die zuvor bildgebend bestätigt wird. Die Eignung sollte immer individuell und interdisziplinär beurteilt werden.
Wenn Sie unsicher sind, wie Ihre Befunde einzuordnen sind, kann eine kompetente ärztliche Einschätzung helfen.
Ihre nächsten Schritte
Nach einer Prostatakrebsdiagnose stehen viele Entscheidungen an. Welche Therapie sinnvoll ist, hängt nicht nur vom Stadium ab, sondern auch von biologischen Merkmalen des Tumors, bisherigen Behandlungen, dem PSA-Verlauf und Ihrem allgemeinen Gesundheitszustand. Eine isolierte Betrachtung einzelner Befunde reicht oft nicht aus – entscheidend ist die Gesamtschau.
Eine kompetente ärztliche Bewertung kann helfen:
- Ihre aktuellen Befunde medizinisch einzuordnen
- das tatsächliche Krankheitsstadium realistisch zu bewerten
- geeignete diagnostische oder therapeutische Optionen abzuwägen
- offene Fragen verständlich zu klären
Im Theranosticum Wien erfolgt diese Einschätzung auf Basis aller vorliegenden Unterlagen – transparent, evidenzbasiert und individuell abgestimmt. Der Mensch steht bei uns im Vordergrund, nicht die Erkrankung alleine. Falls bereits Vorbefunde, PSA-Verläufe oder Bildgebung vorliegen, können diese gezielt überprüft und gemeinsam besprochen werden.
Wir nehmen uns Zeit für Sie
Wenn Sie Fragen haben oder einen Termin vereinbaren möchten, sind wir gerne für Sie da.
In einem persönlichen Gespräch klären wir Ihr Anliegen in Ruhe und besprechen gemeinsam die nächsten Schritte.
Unser Team meldet sich zeitnah bei Ihnen und begleitet Sie kompetent und zuverlässig – vom ersten Kontakt bis zu Ihrem Therapietermin.

Wir sind für Sie da
Haben Sie Fragen oder möchten Sie einen Termin vereinbaren?
Wir nehmen uns Zeit für Ihr Anliegen und melden uns zeitnah bei Ihnen zurück.
Kontaktdaten
Sie haben Fragen zur PSMA-Therapie? Kontaktieren Sie unser Team für weitere Informationen oder Terminvereinbarungen.
Telefon
Adresse
Heiligenstädter Str. 55/65
1190 Wien - Österreich


